Centre d'Ophtalmologie Marrakech
Consultation Générale

Consultation Générale en Ophtalmologie

Bilan visuel complet pour adultes et enfants à Marrakech

Prendre rendez-vous

Consultation Ophtalmologique

Une consultation générale en ophtalmologie permet d'évaluer la santé de vos yeux, de dépister d'éventuelles pathologies et de mesurer votre acuité visuelle. Le Dr Sayouti Abdellah vous propose un examen complet et personnalisé adapté à chaque âge et à chaque situation.

Pourquoi consulter un ophtalmologue ?

Une consultation régulière chez l'ophtalmologue est essentielle pour maintenir une bonne santé oculaire. Elle permet de :

  • Dépister précocement les maladies oculaires
  • Adapter votre correction visuelle (lunettes, lentilles)
  • Prévenir les complications liées au diabète, hypertension, etc.
  • Surveiller l'évolution de votre vision au fil des années
Consultation ophtalmologique

Déroulement de la Consultation

Une consultation complète se déroule en plusieurs étapes pour assurer un diagnostic précis et un suivi personnalisé de votre santé oculaire.

1

Anamnèse

Discussion sur vos antécédents médicaux, vos symptômes et vos habitudes visuelles.

2

Examen de l'acuité visuelle

Mesure de votre vision de loin et de près avec et sans correction.

3

Mesure de la pression intraoculaire

Examen indolore pour dépister un éventuel glaucome.

4

Examen du segment antérieur

Observation à la lampe à fente de la cornée, de l'iris et du cristallin.

5

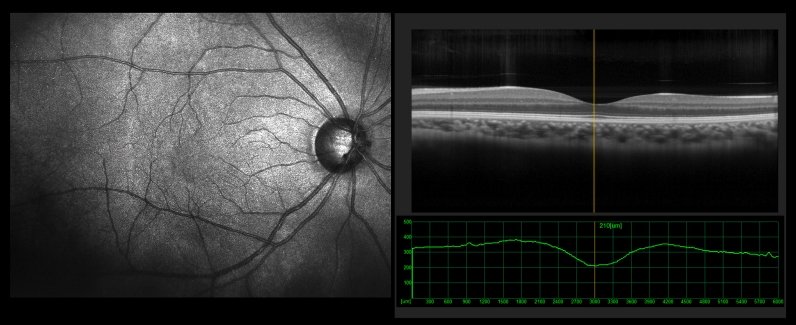
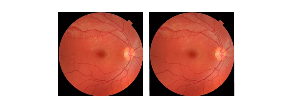
Fond d'œil

Examen de la rétine après dilatation pupillaire pour visualiser les structures profondes.

6

Conclusion et prescription

Bilan complet, recommandations et prescription si nécessaire.

Examens Complémentaires

Selon vos besoins, des examens spécialisés peuvent être réalisés pour un diagnostic plus approfondi.

Échographie oculaire

Échographie Oculaire

  • Exploration des structures internes de l'œil
  • Mesure précise de la longueur axiale
  • Détection d'anomalies non visibles autrement
  • Préparation à la chirurgie de la cataracte
Angiographie numérique

Angiographie Numérique

  • Étude des vaisseaux rétiniens
  • Diagnostic des maladies vasculaires
  • Dépistage de la DMLA et rétinopathie diabétique
  • Suivi de l'efficacité des traitements
Champ visuel

Examen du Champ Visuel

  • Évaluation de l'étendue de la vision périphérique
  • Dépistage et suivi du glaucome
  • Détection de scotomes (zones aveugles)
  • Analyse des lésions neurologiques

Pourquoi Choisir Notre Cabinet ?

Le Dr Sayouti Abdellah et son équipe vous offrent une prise en charge complète et personnalisée pour votre santé visuelle.

Expertise Médicale

Le Dr Sayouti Abdellah est membre de la Société Française d'Ophtalmologie avec plus de 20 ans d'expérience en maladies et chirurgie oculaire.

Équipements Modernes

Notre cabinet est équipé des dernières technologies en ophtalmologie pour des diagnostics précis et des traitements efficaces.

Approche Personnalisée

Chaque patient bénéficie d'un temps de consultation adapté à ses besoins, avec des explications claires et un suivi personnalisé.

Ophtalmologie Pédiatrique

Spécialiste des troubles visuels chez l'enfant : strabisme, amblyopie, et suivi de la myopie évolutive.

Tarifs des Consultations

Des tarifs transparents pour une prise en charge adaptée à tous.

Type de Consultation Description Tarif
Consultation Générale Adulte Examen complet de la vision avec fond d'œil 400 MAD
Consultation Pédiatrique Examen adapté aux enfants (à partir de 3 ans) 350 MAD
Consultation de Suivi Contrôle annuel ou post-opératoire 300 MAD
Examen du Champ Visuel Évaluation de la vision périphérique 200 MAD
Échographie Oculaire Exploration échographique des structures oculaires 250 MAD

Les consultations peuvent être prises en charge par certaines mutuelles. N'hésitez pas à nous consulter pour plus d'informations.

Prêt à prendre soin de votre vision ?

Notre équipe est à votre disposition pour répondre à toutes vos questions et vous accompagner dans le maintien d'une bonne santé oculaire.